肺朗格汉斯细胞组织细胞增多症(PLCH)是一组病因不明,以朗格汉斯细胞在一个或多个器官增生、浸润为特点的疾病。嗜酸性粒细胞肉芽肿和组织细胞增多症X是描述儿童PLCH的局灶性病变的旧称。Letterer-Siwe病、Hand-Schüller-Christian病和Hashimoto-Pritzker综合症都属于全身性的朗格汉斯细胞组织细胞增生综合症,好发于儿童。
PLCH可以单独出现或作为全身性疾病的一部分。在成人中,PLCH是最常见的原发性肺组织细胞病,最常见于肺,并且通常只累及肺。此病几乎完全发生于20-40岁的吸烟患者,通常认为发病机理与对香烟烟雾中抗原的异常免疫反应有关。儿童PLCH极为罕见,通常是全身性疾病的一部分,与吸烟无关。成人PLCH朗格汉斯细胞的浸润一般是反应性,但无肿瘤性,而儿童PLCH更具克隆性,易形成肿瘤。
高达1/4的PLCH患者无临床症状,有症状的患者临床表现为呼吸困难、无诱因咳嗽、乏力、发热、体重减轻、咯血、盗汗。肺功能检查可以是正常的、阻塞性、限制性或混合型肺气肿,这决于PLCH的持续时间和严重程度及是否合并肺气肿或大气道疾病。
病变肺组织切片HE染色显示浸润的朗格汉斯细胞具有典型复杂的核形态特征以及层叠或沟状的核膜。朗格汉斯细胞还具有特殊的五层包裹体(Birbeck颗粒)。免疫组织化学染色显示S-100、CD1a及angerin抗原阳性。
在早期的PLCH中,镜下可见以呼吸性细支气管为中心的间质性结节,这些结节由朗格汉斯细胞和嗜酸性粒细胞组成。早期病变结节越多,终末期越容易纤维化及囊变。囊性病变的形态特征是细支气管壁的炎症破坏及肺小叶小气道扩张;囊变内有时可见壁结节。在小儿PLCH中,组织学表现与成人相同,但出现弥漫性多系统疾病时,肺部病变细胞很少出现纤维化。对于成人,吸烟所致的肺气肿、肺泡腔内巨噬细胞大量聚集及呼吸性细支气管炎较常见。
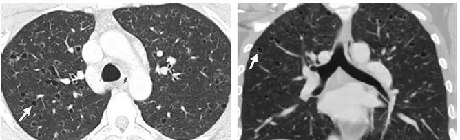
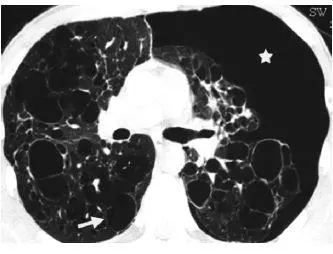
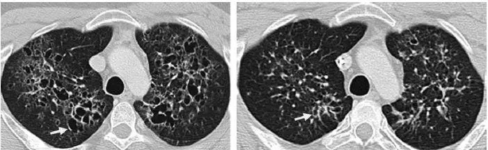
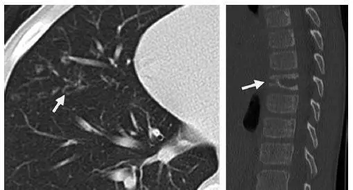
早期疾病薄层断层扫描(CT)可显示1–10mm的小叶中心结节或者空洞(图1)。随着病情的发展,囊性病变逐渐取代结节,表现为厚或薄壁囊腔,形态多不规则(图2)。结节和囊性病变通常累及双肺上中野,肺尖和肺底以及肋膈角常不受累。约25%的患者由于胸膜下囊腔破裂导致自发性气胸,累及双侧并且可以反复发作,这是本病的首发症状(图3)。终末期疾病的特点是肺过度充气以及广泛的囊腔,形成终末期肺气肿(图4)。薄层CT具有特征性人口统计学分布特点及临床表现,是PLCH临床诊断的重要依据,从而避免肺活检。在儿童中,薄层CT表现与成人相似,但更病变更广泛(图5),并且与未发现与吸烟有关的病灶。

图1 44岁女性PLCH患者。a 薄层CT显示边界不清的结节影,主要位于双肺上叶,这些结节是典型PLCH细胞浸润早期表现。部分结节中心部分是透亮的,提示将要囊变。b CT图像显示双肺底部未受累。c 组织病理学检查,显微镜下图像显示细胞核皱缩、折叠的朗格汉斯细胞和嗜酸性粒细胞。CD1a免疫组化染色显示成片朗格汉斯细胞被染成特征性的棕色。

图2 31岁男性PLCH患者。薄层CT横轴位(a)和冠状位(b)显示双肺上叶不规则状囊腔,囊壁厚度及囊的大小多变(箭头),双肺基底未受累。

图3 25岁男性PLCH患者。薄层CT横轴位显示双肺上叶大小不等的不规则囊变(箭头),左侧气胸(☆)

图4 28岁男性PLCH患者。薄层CT横轴位(a)显示形态各异的囊变,全身性朗格汉斯细胞增多症化疗后两年随访显示囊变减小(b)

图5 9岁男性LCH患者。轴位CT(a)显示右肺中叶(箭头)和舌叶(未显示)的囊腔和小叶中央结节。(b)胸椎矢状位CT显示中段胸椎椎体塌陷,由LCH引起
肺动脉高压比较常见,因此,呼吸困难的患者应行超声心动图检查。PLCH引起的肺动脉高压比其他慢性肺部疾病引起的肺动脉高压的患病率要高,严重程度高。PLCH患者肺动脉高压预后差,通常认为是肺小动脉受累的结果。一些肺内病变稳定的患者也会出现肺动脉高压进展。
PLCH的发病过程多变,不可预测,其表现可从无临床症状的几处病灶到进展性的全身乏力,呼吸衰竭,甚至死亡。治疗措施首先是戒烟。约一半的患者临床症状稳定,影像学表现无明显改变;不论是否戒烟,1/4的患者病情会自发缓解,而约1/4的患者戒烟后,病情仍会进展。疾病的不良预后与高龄、全身症状长时间持续、多器官受累、影像学上双肺广泛的囊变区、反复气胸、严重的弥散功能降低、治疗延迟以及肺动脉高压有关。
文献
Ahuja J, et al. Histiocytic disorders of the chest: imaging findings.Radiographics 2015;35:357-70.
[2]All These Chest X-Rays made us mad, No More Unjustified CT Scans... A Far Cry From Hamlet!.ECR.2016.
意思是,指作品中吸引人的魅力点和魔力之处。这种魅力可能来自于作品的音乐旋律、歌词内容、演唱者的表演风格、或者是背后的故事情节等等。无论是何种因素,作品中的魅力所在都能够俘获听众的心灵,引发共鸣,并使其对作品产生深刻的印象。
1417数字爱情代表的意思是:一世(在)一起。1——代表唯一的爱情 ;2——代表两人世界;3——代表分散,双方随分隔两地,但思念永不改变 ;4——代表无尽的思念;5——是我的意思,也可以理解为不分你我; 6——代表顺利,代表喜剧式的爱情双方的爱情将一帆风顺,幸福过一生 ;7——代表凄美,代表爱情注定经历坎坷,或许中间有很痛苦的事,但双方要用爱来度过 ;8——是可以看成两个0靠在一起,是最浪漫的一个,指标是两个人肩靠肩的样子 ;9——代表永久,爱你一生一世直到永久的意思 ;10——代表十全十美,完美的爱情。
数字的意义:数字的含义是什么?数字的意义:数字的意义是什么 数字释义:0——代表圆满、完美、无尽;1——代表唯一、你、起点;2——代表爱、两人世界;3——代表想念、生命、生活;4——代表是的、时时。5——代表我,无,也是勿,也可以理解为不分你我;6——代表顺利、溜达;7——代表请、亲、起、气;8——代表发、拜拜、不;9——代表久、就、求。
是的,以上就是火遍社交平台,恋爱脑你的三年我心疼,你的文字还爱他,网抑云堵上不堵一切的命,也追不回想走的人。可不爱你的人只会说:快点,再快一点。上了不知是他干爹还是他表哥的车。我说:我赌上命,只追,不松油门。上学的时候,都有过白月光,也出现过朱砂痣。就好像在我18岁的年纪,看上了一款38万的车。23岁的年纪,我又看上了一款43万的车。
在上文中,蜗牛告诉过大家,在佛教中,3、6、9寓意深刻,基本上所有的数字都是3的倍数。比如孙悟空筋斗云的速度,唐僧转世九次,沙僧吃掉九个取经人等。可这5048却与3、6、9等数字一点关系也没有。这是怎么回事呢?首先,沙僧的兵器是5048斤,猪八戒的兵器也是5048斤!要知道,猪八戒的兵器九齿钉耙,是太上老君打的,而沙僧兵器是月宫吴刚砍下树枝来,鲁班打造的。他们两人,为何不约而同打造成这个重量?偏偏孙悟空的金箍棒又是重一万三千五百斤,与他们的重量数字完全无关系。
手机尾号数字是 0代表的是:草莓 手机尾号数字是 1代表的是:荔枝 手机尾号数字是 8代表的是:哈密瓜 手机尾号数字是 2代表的是:西瓜 手机尾号数字是 3代表的是:橙子 手机尾号数字是 4代表的是:火龙果 手机尾号数字是 5代表的是:柚子 手机尾号数字是 6代表的是:芒果 手机尾号数字是 7代表的是:樱桃 手机尾号数字是 9代表的是:葡萄...
摘要:朗格汉斯全称为朗格汉细胞组织细胞增生,是一种原因未明的组织细胞繁殖性的疾病。临床中因病程不同,个体情况不同,症状表现多样,常见的症状为皮肤的皮疹、红斑、单骨或多骨组织损坏,伴或不伴有尿崩症、脾脏损害。儿童朗格罕这个疾病治愈率非常低,一般多采用化疗进行治疗。下面来看介绍。什么是儿童郎格汉斯组织细胞增生症儿童朗格汉斯组织细胞增生症医学上来说是一种血液疾病,而且发病几率非常低,临床是一种比较罕见的疾病。
值得一提的是,“建行生活”APP对平台上的商户永远不收费,除了为入驻商家提供收款、对账、退款、门店管理等一站式服务,依托建行的客源优势为商户引流之外,还提供“商户云贷”“收单云贷”等信用类贷款支持,帮助企业发展,为商户经营成长添加助力。在真正意义上为广大中小微企业减压,切实为解决商家困局、推动共同富裕作出贡献。
“朝辞白帝彩云间”,白帝城因为地势高才会矗立在彩云之间。也正因为白帝城的地势高,下面才有可能水流的湍急和船只的飞速行进。“彩云间”是早晨景色的写照,也是诗人心情的写照。“千里江陵一日还”,“千里”和“一日”把空间和时间进行了鲜明的对比。空间上纵然有千里之远,但是因为水流湍急,诗人一日之内便能抵达。两边的风景更是为诗人的心情增添了色彩。长江三峡两边常有高猿长啸。但是猿猴的叫声总是间歇性的,诗人却说“两岸猿声啼不住”。原来是因为诗人的船只行走得太快,两岸的猿猴仿佛是一路跟随。
lamer海蓝之谜眼霜15ml眼霜精华就是要用最好的 绿色浓缩修护眼部精华眼霜,对细纹 浮肿 黑眼圈 都有效果!!!很全能的眼霜有眼部按摩棒!可以搭配其他眼霜重复使用不差钱就直接选它!用了它,其他眼霜都是浮 LaMer海蓝之谜全新修复精粹液150ml一使用肌肤就能舒缓,明显改善肤质,匀亮肤色,重新焕发动人光采,蕴藏四大活肤功效:再生修护,保湿滋养,舒缓调理,匀亮肤色,如同肌肤的能量电池,为肌肤活力充电,让后续保养产品发挥极致功效。
三个字:729去喝酒、756辛苦了、721亲爱的、456是我啦、546我输了、356上网了、510我依你(我已来)、765去跳舞、360想念你、809保龄球、520我爱你、530我想你、740气死你、886拜拜了、078你去吧、501我愿意、987对不起、095你找我、234爱相随、246笨死了、537我生气、918加油吧、065原谅我、098你走吧、147一世情、200爱你哦、282饿不饿、230爱上你、300想你哦、310先依你、440谢谢你、514无意思、555呜呜呜、587我抱歉、706...
1417数字爱情代表的意思是:一世(在)一起。1——代表唯一的爱情 ;2——代表两人世界;3——代表分散,双方随分隔两地,但思念永不改变 ;4——代表无尽的思念;5——是我的意思,也可以理解为不分你我; 6——代表顺利,代表喜剧式的爱情双方的爱情将一帆风顺,幸福过一生 ;7——代表凄美,代表爱情注定经历坎坷,或许中间有很痛苦的事,但双方要用爱来度过 ;8——是可以看成两个0靠在一起,是最浪漫的一个,指标是两个人肩靠肩的样子 ;9——代表永久,爱你一生一世直到永久的意思 ;10——代表十全十美,完美的爱情。
最近,网上有一个视频,是一个男生在大庭广众之下,拿着一束花向女生表白。结果女生的表情很不好,对男生说下一次吧,男生也恼了。今天就跟大家聊聊,道德绑架式表白什么意思?这种所谓的“道德绑架式表白”,其实就是指的在大庭广众之下表白,也许女生根本就不愿意,却要被周围围观的群众逼着答应。之前我就遇到过一个类似的事情,男生在公共场合表白,女生给拒绝了,于是男生就恼羞成怒对女孩横加指责:“你不就是嫌弃我穷吗?”“我有什么不好,你为什么不喜欢我,没想到你那么势力”。
2018年7月27日,国家药品监督管理局发布《关于调整药物临床试验审评审批程序的公告》,明确:对于药物临床试验期间出现的可疑且非预期严重不良反应和毒理研究提示重大安全性风险信号,申请人应按照《药物临床试验期间安全性数据快速报告标准和程序》中相关要求向药审中心递交安全性报告。2020年3月30日发布的《药品注册管理办法》中固化该要求,第三章第二十八条明确规定,对于药物临床试验期间出现的可疑且非预期严重不良反应和其他潜在的严重安全性风险信息,申办者应当按照相关要求及时向药品审评中心报告。
lv白三彩经典款大方的设计,营造浪漫的气氛,凸显女性优雅知性气质,所以好意思用的。LV一般指路易威登。路易威登(LouisVuitton),法国奢侈品品牌,隶属于酩悦·轩尼诗-路易·威登集团,经营产品包括手提包,旅行用品,小型皮具,配饰,鞋履,成衣,腕表,高级珠宝及个性化订制服务等。
很多人每天脑子不停,晚上有时候失眠,出现瞎琢磨。胡思乱想。这里的胡思乱想就是无效思维,但是他还非常占用大脑内存。同样的消耗大脑资源。瞎琢磨的意思是汉语词语,拼音是xiā zuó mo,意思是胡乱揣测。大脑中一团乱麻,剪不断理还乱。无奈纠缠,身心疲惫。要想改变这样的思维模式,就要首先了解有效思考有哪些因素。